Um homem de 42 anos foi preso, na manhã desta quinta-feira (16/10), após agredir e torturar a própria companheira durante cerca de 6 horas, na QNM 40, em Taguatinga.
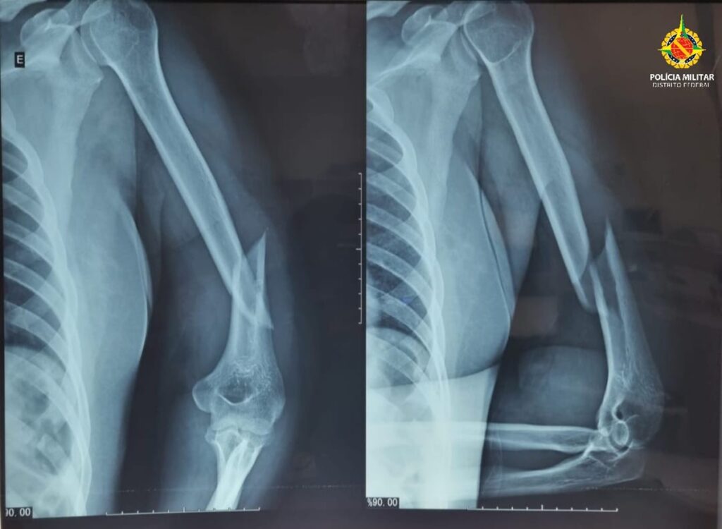
Segundo a Polícia Militar do DF (PMDF), uma equipe foi acionada para atender uma ocorrência de violência doméstica e, no local, constatou que a vítima apresentava hematomas no rosto, inchaço ao redor dos olhos, sangramento pelos ouvidos, fratura no úmero esquerdo e luxação no ombro esquerdo.
Uma equipe médica do Serviço de Atendimento Móvel de Urgência (Samu) informou aos policiais que o quadro clínico era sugestivo de traumatismo cranioencefálico.
Leia também
-
Tentativa de feminicídio: mulher é esfaqueada na frente da filha no DF
-
SC: mulher fica gravemente ferida em tentativa de feminicídio
-
Adolescente sofre tentativa de feminicídio na PB; ex-namorado é preso
A mulher relatou que vinha sendo agredida desde a meia-noite pelo companheiro e que foi uma vizinha que acionou a PMDF, após ouvir os pedidos de socorro. A vítima foi socorrida e encaminhada ao Hospital Regional de Taguatinga (HRT), onde permanece internada, aguardando procedimento cirúrgico.
O agressor foi localizado e preso em via pública, na EQNM 36/38. Segundo a PMDF, ele tem extensa ficha criminal, com antecedentes por violência doméstica, homicídio e roubo.
O autor foi conduzido à 21ª Delegacia de Polícia (Taguatinga Sul), onde foi autuado em flagrante pelo crime de tentativa de feminicídio, agravada pela tortura.

