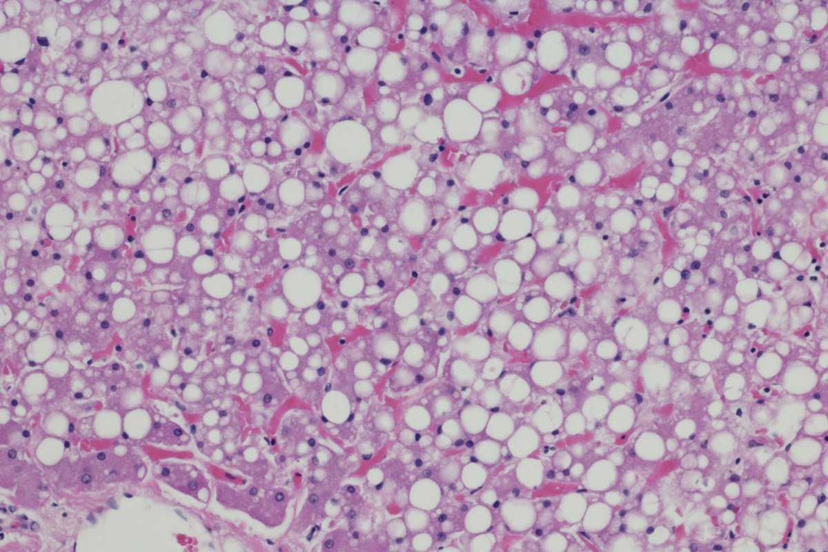
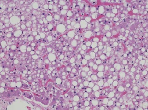
Uma condição cada vez mais comum, a esteatose hepática, conhecida como gordura no fígado, é uma doença de estilo de vida. Desencadeado por obesidade, má alimentação, sedentarismo e excesso de álcool, o acúmulo excessivo de gordura nas células hepáticas é preocupante e pode causar problemas sérios de saúde, como cirrose e até câncer.
Gordura no fígado: saiba quais são os sintomas da esteatose hepática
Porém, assim como a gordura no fígado é causada por hábitos, eles também podem reverter o quadro. Não existe remédio para tratar a esteatose hepática: é preciso adotar uma série de mudanças na rotina para garantir que o órgão funcione bem.
O gastroenterologista e hepatologista Rodrigo Rêgo Barros conta que o diagnóstico precoce é fundamental. “A esteatose hepática é uma condição reversível quando diagnosticada precocemente. Com uma alimentação equilibrada, prática regular de exercícios e controle do peso corporal, o fígado tende a se regenerar e eliminar o excesso de gordura”, afirma o médico.
Hábitos que podem reverter a gordura no fígado
- Perder peso de forma gradual: pequenas reduções de peso melhoram gordura no fígado. Foque em constância, não em dietas radicais.
- Comida de verdade: priorize legumes, verduras, frutas, grãos integrais, feijões e proteínas magras.
- Cortar (ou pausar) o álcool: mesmo em pequenas doses, o álcool sobrecarrega o fígado em quem já tem esteatose.
- Diminuir açúcar e farinha refinada: refrigerantes, doces e pães/brioches aceleram o acúmulo de gordura no fígado. Troque por versões integrais e frutas.
- Planejar o prato e as porções: use metade do prato com vegetais, 1/4 com proteína magra (peixe/ovo/ave), 1/4 com carboidrato integral.
- Movimentar o corpo: caminhada, bicicleta ou natação somados a treinos de força ajudam o fígado a usar gordura como energia.
- Dormir bem regularmente: sono ruim desregula o metabolismo e atrapalha a reversão da esteatose.
- Cuidar do metabolismo (glicose, colesterol e pressão): acompanhe exames e trate condições associadas (pré-diabetes/diabetes, dislipidemia, hipertensão).
- Revisar remédios e suplementos: evite automedicação — alguns produtos naturais podem ser hepatotóxicos.
- Acompanhamento médico: consulta periódica guia metas realistas e verifica a resposta do fígado às mudanças.
A esteatose hepática é uma doença silenciosa, segundo os especialistas
O especialista ensina que uma perda de peso gradual, de 7% a 10% do peso corporal, é suficiente para ajudar o fígado a trabalhar melhor. Medidas como a diminuição de alimentos ultraprocessados, açúcares e bebidas alcoólicas, e a instalação de uma dieta rica em vegetais, frutas, grãos integrais e proteínas magras pode ajudar.
Leia também
-
Gordura no fígado: 5 vegetais que podem ajudar a “limpar” o órgão
-
Gordura no fígado tem sintomas? Conheça sinais associados à condição
-
Gordura no fígado: saiba sinais que exigem atenção e como se prevenir
-
Gordura no fígado: 6 alimentos que ajudam a reduzir o problema
Dormir com qualidade e evitar o consumo de álcool também são dicas importantes para reverter o quadro.
“É preciso entender que a esteatose não é apenas um problema estético ou de peso, mas um sinal de que o metabolismo não está funcionando como deveria. Não adianta apenas fazer dieta temporária. É preciso mudar o estilo de vida de forma consistente, com alimentação balanceada e atividade física regular”, alerta a endocrinologista Priscila Mattar.
Siga a editoria de Saúde e Ciência no Instagram e fique por dentro de tudo sobre o assunto!

